IRM ABDOMINALE ET ENTERO-IRM
De quoi s’agit-il ?
L’IRM abdominale est d’une grande utilité lorsqu’une analyse très fine des organes situés au sein de la cavité abdominale est nécessaire et que certaines lésions ne sont pas visibles avec les autres techniques d’imagerie (radiographie, échographie ou scanner).
Elle permet de réaliser des images en coupe ou acquisitions 3D apportant non seulement des informations sur l’anatomie de l’organe mais également sur la viabilité de certaines lésions et d’évaluer ainsi la réponse au traitement de façon plus précise.
Préparation
Il est très important d’amener avec vous l’ensemble de votre dossier médical : les précédents examens d’imagerie, les résultats biologiques et les comptes rendus de consultation en lien avec la pathologie concernée.
Nous vous demanderons de vous dévêtir et d’enfiler notre blouse d’examen. Il faudra enlever montre, bijoux, appareils auditifs. Il est possible que nous vous injections un produit de contraste durant l’examen.
Une préparation orale sera à boire une heure avant l’entrée dans la machine et avant certains examens (telle qu’une entéro-IRM ou une bili-wirsungo-IRM) pour effacer le signal liquidien des structures digestives qui gênent l’analyse des voies bilio-pancréatiques.
Un document écrit expliquant la procédure vous sera transmis à la prise de rendez-vous.
Installation et déroulement
Dans l’IRM vous serez allongé sur le dos, les bras le long du corps. Un dispositif de réception du signal sera disposé sur votre ventre pour améliorer les images produites par la machine.
La tête se trouvera à l’extérieur du tunnel.
L’examen durera environ 20 mn pendant lesquelles nous vous demanderons de rester immobile et de respirer régulièrement, également pour une qualité d’image optimum.
Dans certains cas et après explication de son intérêt, il y aura une injection de produit de contraste en cours d’examen.
Certaines séries d’images nécessiteront une apnée de 8 à 15 secondes.
Pourquoi faire une IRM abdominale ? – Résultats
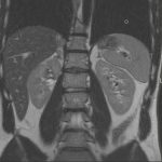
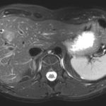
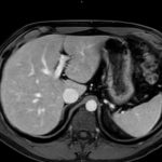
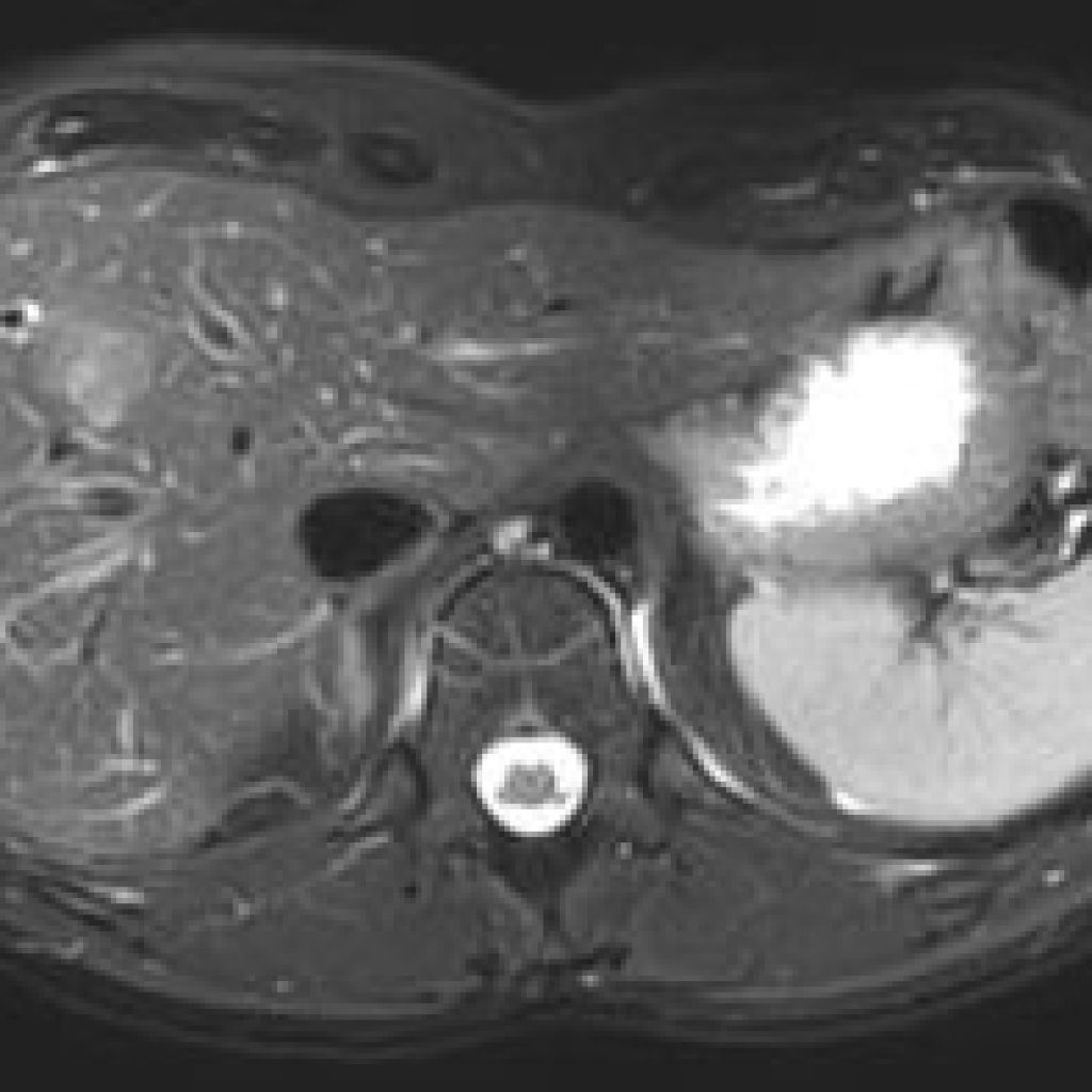
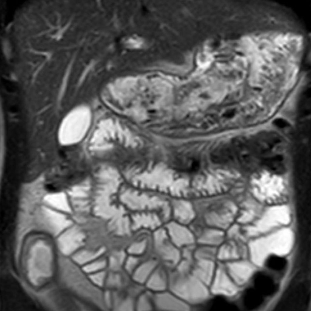
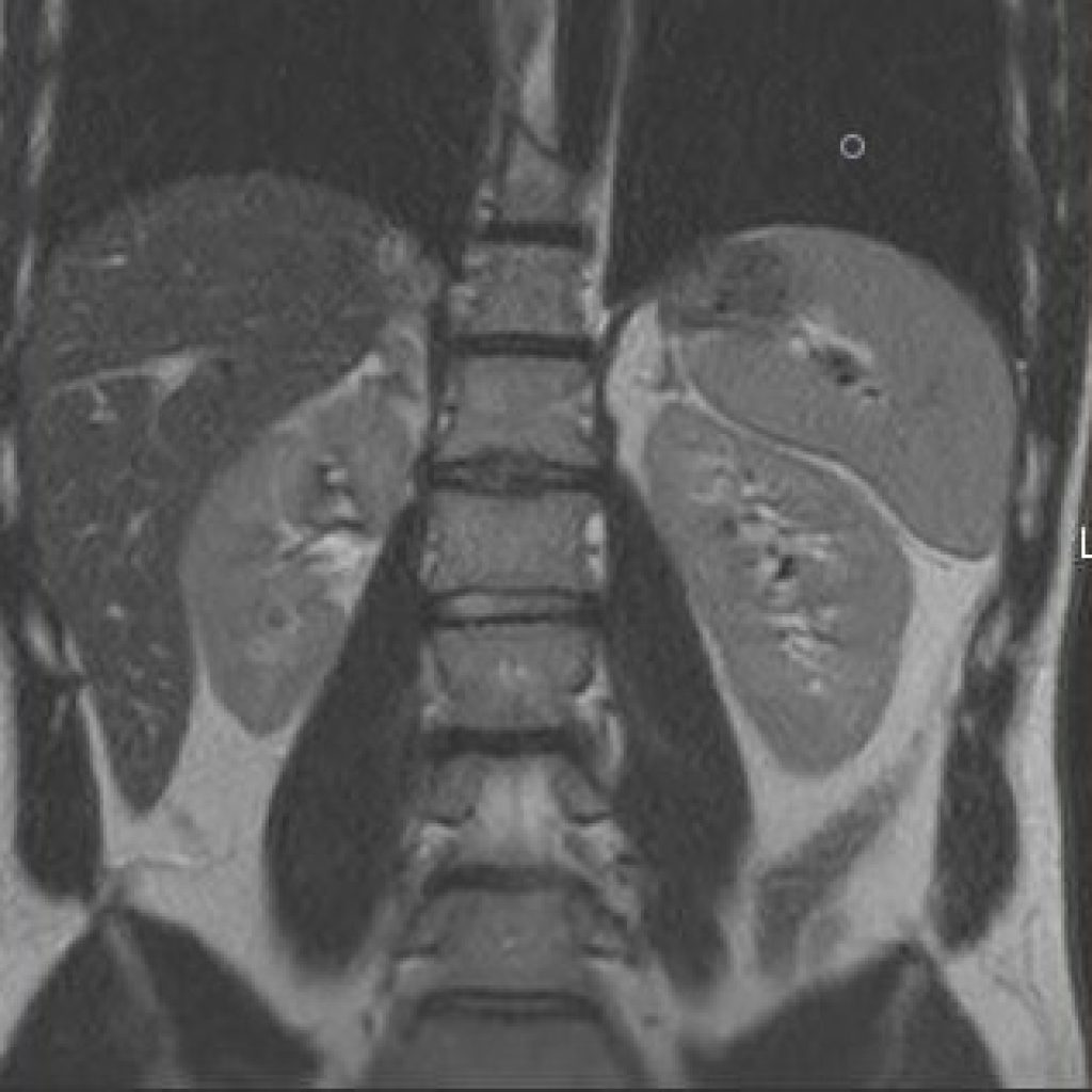
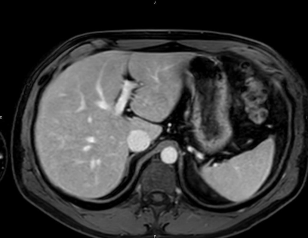
Ce type d’exploration s’intéresse au foie, aux surrénales, aux reins, au pancréas, à la rate et au péritoine
Quelques exemples :
– recherche d’une surcharge en fer du foie,
– quantification d’une stéatose, suivi des fibroses intra-hépatiques,
– cartographie des lésions cancéreuses et suivi de leur réponse sous traitement,
– recherche de calculs au sein des voies biliaires ou de la vésicule.
Les résultats vous seront remis généralement dans la journée, au plus tard dans les 48h suivant la complexité de votre dossier.





