Le Telos

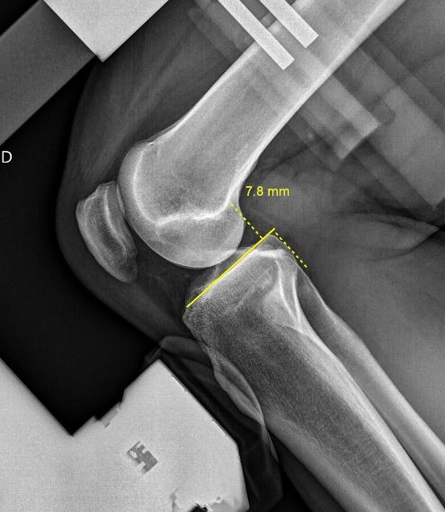
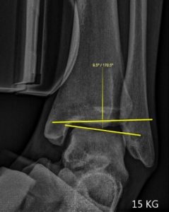
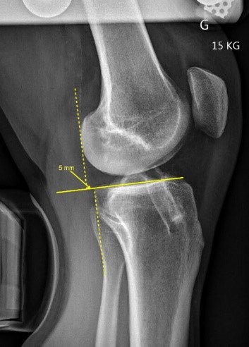
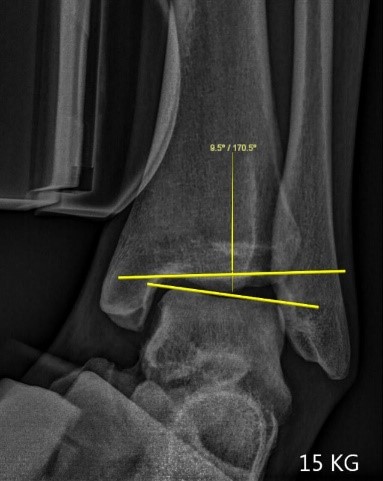
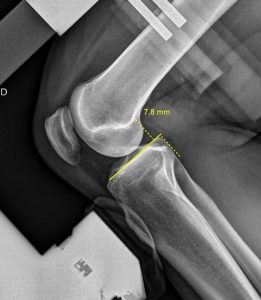
Le Telos Stress est un appareil permettant de réaliser les examens en salle de radiologie visant à tester la stabilité et quantifier la laxité des ligaments des  articulations.

Cet Appareil est particulièrement adapté à l’étude fonctionnelle des ligaments croisés des genoux LCA et LCP et ligaments collatéraux des chevilles avant toutes décisions thérapeutique ou chirurgicale.

La méthode est précise et reproductible car le positionnement est toujours identique et la force exercée est étalonnée.
Les mesures réalisées sur les images radiographiques permettent d’obtenir un diagnostic précis pour le prescripteur.