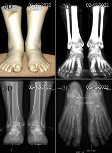
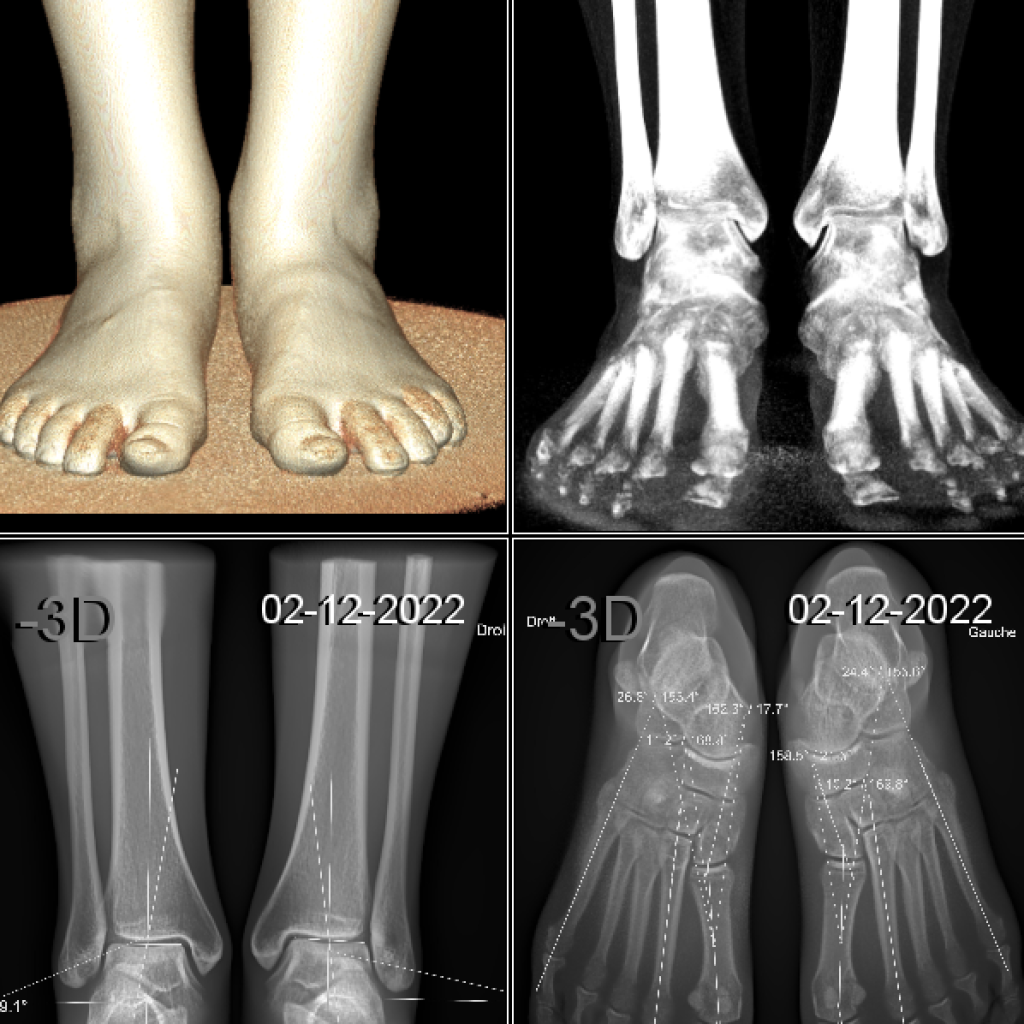
SCANNER 3D EN CHARGE : LINE-UP
Le Groupe du Mail est désormais équipé d’un des tous premiers Curve Beam LineUp de France.
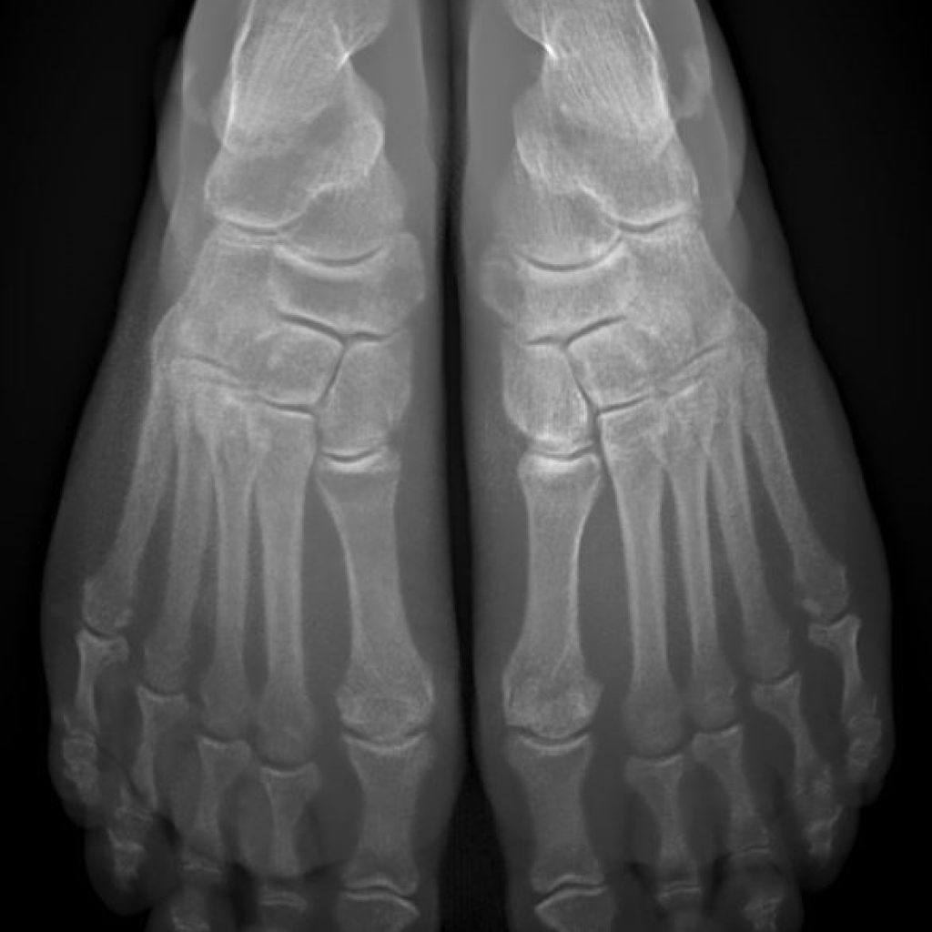
Il s’agit d’un appareil type cone beam permettant d’étudier en position débout, comme un scanner, les pieds, les chevilles et les genoux avec une très faible irradiation du patient comparé à un scanner conventionnel.
Il se destine aux pathologies liées aux troubles posturaux, aux douleurs des avants et arrières pieds.
Sa finesse d’image lui permet aussi d’être au cœur des bilans traumatiques et rhumatismaux de la cheville et du coup de pied.
Le patient est debout et l’appareil tourne autour de ses pieds sans entrer en contact avec lui.
Il suffit de moins d’une minute pour obtenir une acquisition volumique 3D des pieds et des chevilles.




