Pixyl.Neuro
Pixyl.Neuro: un outil d’aide au diagnostic pour la lecture des IRM cérébrales utilisé en routine à la clinique du Mail
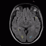
Pixyl.Neuro est une solution basée sur l’intelligence artificielle, permettant une analyse automatique des clichés d’IRM (Imagerie par Résonance Magnétique) du cerveau.
Cette technologie embarque deux outils complémentaires.
Le premier, Pixyl.Neuro.MS, est dédié au diagnostic et au suivi des patients atteints de maladies affectant la substance blanche du cerveau, comme la Sclérose en Plaques. Il permet la détection des lésions spécifiques sur les images IRM, ainsi que leur quantification et leur classification selon leur localisation dans les régions spécifiques du cerveau. En cas d’IRM antérieure, la solution est également à même d’évaluer l’évolution dans le temps de chaque lésion, permettant un suivi fin de l’activité de la maladie.
Le second volet, Pixyl.Neuro.BV, est un outil de volumétrie cérébrale. Il identifie les différentes structures du cerveau, calcule leur volume ainsi que l’évolution des volumes dans le temps, et compare les valeurs du patient aux valeurs d’une population normale “saine”. Cet outil permet notamment l’aide au diagnostic et au suivi de la maladie d’Alzheimer, mais est également précieux pour d’autres types de démences.
Ces analyses ne nécessitent aucune injection de produit de contraste.
Ces outils sont une aide précieuse pour les professionnels de santé, mais ne se substituent pas à leur expertise. Le médecin va utiliser les résultats fournis par l’analyse automatique en combinaison avec les clichés de l’IRM bruts pour établir un rapport et un diagnostic de façon plus fiable, précise et sensible.
Développé localement à Grenoble, le logiciel Pixyl.Neuro a reçu le marquage CE en 2019 et est déployé dans plus de 40 centres à travers l’Europe. Les analyses sont faites dans le respect des réglementations en vigueur sur la protection des données personnelles (RGPD).
Pour en savoir plus:
site internet : https://pixyl.ai/
linkedin : https://www.linkedin.com/company/pixyl-medical



