Espace professionnel
Redirection automatique en cours.

Un numéro VIP vous est réservé : pour toute demande de rendez-vous en urgence, concernant vos propres patients, vous pouvez composer le 04 76 33 55 20.
Ce numéro vous permettra d’accéder à notre Centre de rendez-vous en priorité, et d’éviter ainsi de patienter.
NB : merci de ne pas communiquer ce numéro, sans quoi il perdra de son intérêt.

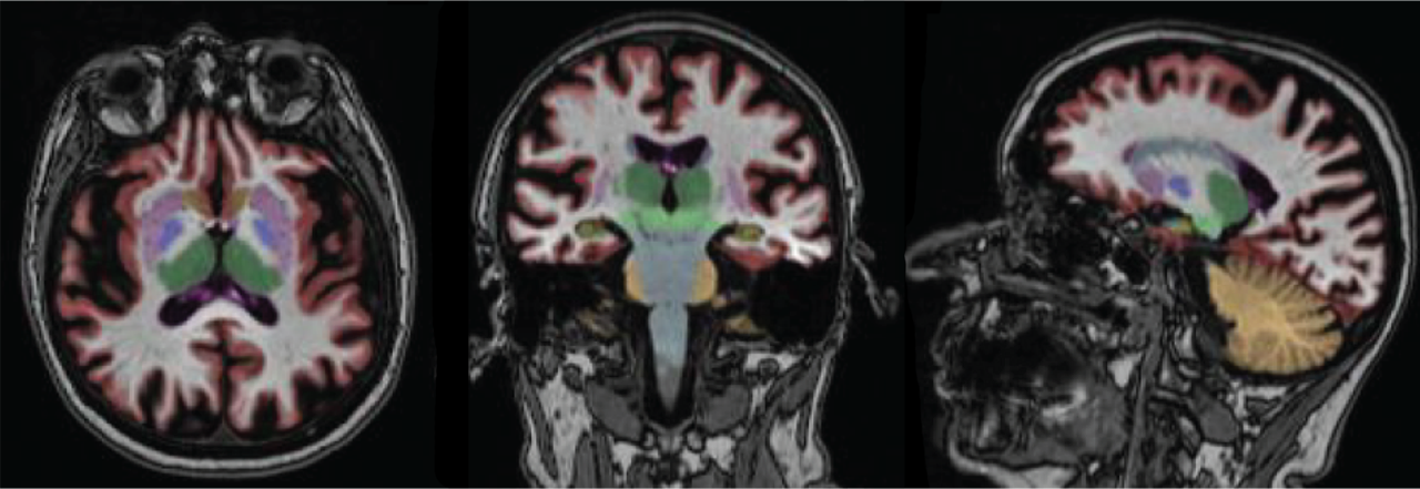
IRM NEUROQUANT : UNE PREMIERE EN FRANCE
Une IRM avec post traitement 3D pour quantifier l’atrophie cérébrale
L’IRM NEUROQUANT permet une évaluation objective et reproductible des maladies neurodégénératives.
Neuroquant est un logiciel de post traitement 3D permettant aux radiologues de fournir à leur correspondant une évaluation quantitative du volume des structures cérébrales.
Evaluer l’impact des pathologies neurologiques sur la morphologie du cerveau, sans aucune subjectivité
NEUROQUANT segmente et mesure le volume des hippocampes, des ventricules, des noyaux gris et de nombreuses autres structures cérébrales et compare le volume obtenu à celui d’une population de référence de même âge et de même sexe. Cette information permet une meilleure évaluation de l’impact de pathologies neurodégénératives ou neurologiques sur la morphologie du cerveau.
Comment fonctionne NEUROQUANT ?
Pour le patient, un examen NEUROQUANT est une IRM cérébrale sans injection.L’examen nécessite une immobilité stricte du patient.
Elle vient en complément d’un premier bilan visant à éliminer un diagnostic différentiel, et est réalisée dans un second temps.
Le manipulateur réalisant l’acquisition envoie les données sur un serveur sécurisé ou NEUROQUANT identifie et segmente automatiquement les différentes structures cérébrales.
Les valeurs de volume obtenues par structures sont comparées à une base de données de référence standardisée pour l’âge, le sexe et le volume cérébral.
Le logiciel NEUROQUANT fournit plusieurs rapports permettant une évaluation visuelle et quantitative.
Les résultats obtenus en détail
Une évaluation longitudinale des résultats de volume est possible avec une représentation graphique prenant en compte les résultats d’examen antérieurs, qui sont rappelés sur le dernier rapport.
1. Age Related Atrophy Report (atrophie selon l’âge)
Ce rapport fournit le volume de chaque hippocampe, des ventricules latéraux et de leur portion temporale ainsi que le HOC (Hippocampal Occupancy Score) ou score hippocampique.
Les résultats sont automatiquement comparés aux valeurs de références établies sur une population de même sexe et même âge.
Le score hippocampique HOC est utilisé pour estimer l’atrophie de l’hippocampe en prenant en compte son volume ainsi que l’augmentation de volume de la fissure choroïde et des ventricules latéraux consécutive à la perte de volume.
2. Hippocampal Volume Asymmetry Report (asymétrie de volume des hippocampes par côté)
Ce rapport présente le volume différencié de chaque hippocampe permettant une étude fiable du degré d’asymétrie, utile dans l’évaluation des épilepsies temporales.
3. Multi Structure Atrophy Report (volume multi structure – 9)
Ce rapport de 2 pages fournit le volume de 9 structures cérébrales avec représentation graphique de l’évolution en cas d’examens successifs.
Sont analysés le volume cérébral global, celui des ventricules latéraux, des thalami, de la substance grise corticale et de la substance blanche, des hypointensités de la substance blanche en T1, du 3ème ventricule, des hippocampes et des cornes temporales des ventricules latéraux.
Le suivi des hyposignaux de la substance blanche (black hole) et du volume cérébral, ainsi que des substances grise et blanche à également un intérêt dans le cadre du suivi des atteintes inflammatoires de la substance blanche (SEP).
4. Triage Brain Atrophy Report (volume multi structure – 39)
Ce rapport fournit le volume de 39 structures cérébrales avec étude de l’asymétrie droite gauche et présentation des résultats selon un classement par lobe et par région.
Les résultats sont présentés sous forme de tableau avec écart à la valeur moyenne (Z score) par côté et pourcentage du volume cérébral (ICV)
5. Brain Development Report
Ce rapport fournit le volume du proencéphale, et des ventricules latéraux et peut être utile pour les patients de 3 ans et plus.
NEUROQUANT : Vidéo du développeur du logiciel (en version originale)